Kategorie: Medizin
Diagnostik und Therapie des PFO
Empfehlungen für den Tauchsport
Bericht von Dr. Anke Fabian
Eingangs ein kurzer Rückblick:
PFO: patentes oder persistierendes foramen ovale
patent/persistierend: fortbestehend
foramen: Loch/Öffnung
ovale: oval
Ein persistierendes Foramen ovale ist demnach ein – aus der Embryonalzeit fortbestehendes – ovales Loch. Es ist im Herzen zwischen dem rechten und dem linken Vorhof lokalisiert. Bei etwa einem Viertel der Menschen (20–30 Prozent) erfolgt der Verschluss im ersten Lebensjahr nur unvollständig – etwa so wie bei einer angelehnten Tür: das PFO.
Das PFO ist seit langem Objekt von vielen wissenschaftlichen Studien und wird – vorausgesetzt, es hat eine bestimmte Größe – mit Krankheitsbildern wie "paradoxe" Embolie, Migräne und Schlaganfall in Verbindung gebracht. Dies erklärt sich durch die stattfindenden kleinsten Mikroembolien. Oft ist ein PFO jedoch nur ein Zufallsbefund und stellt – wenn es klein ist – keinen allzu großen Risikofaktor dar. Die betroffenen Menschen haben an Land zumeist keine Beschwerden, sind sporttauglich und fühlen sich fit.
Aber: Es gibt auch Ausnahmen, die diese Regel bestätigen. Diese findet man bei genauerem Hinsehen in kardiologischen und neurologischen Ambulanzen und in der Tauchersprechstunde oder Druckkammer nach sogenannten „unverdienten Dekompressionsunfällen“.
Die tauchsportspezifischen physiologischen Vorgänge schaffen leider den idealen Nährboden, damit ein bis dato asymptomatisches PFO zu Krankheitszeichen führen kann. Oft handelt es sich hierbei um sogenannte "unverdiente" Dekompressionserkrankungen, bei denen im Grunde keine gröberen Verstöße gegen die Dekompressionsregeln vorliegen und die aus diesem Grunde auch oft unerkannt bleiben und ergo nicht behandelt werden.
Das bedeutet jedoch nicht, dass das Vorhandensein eines PFO die Ursache der Zwischenfälle ist, sondern eher, dass es ein potenzielles Risiko darstellt. Die Ursache sind immer Blasen!
Was nun, wenn der Verdacht auf ein PFO im Raum steht oder wenn sich ein Taucher vorsorglich darauf untersuchen lassen möchte.
"Bin ich dicht?" Der Bubble-Test
Der erste und einfachste Schritt ist ein sogenannter "Bubble-Test". Dabei wird ein gut verträgliches und sicheres Ultraschall-Kontrastmittel (z.B. Echovist oder agitierte Kochsalzlösung), das winzige Gasbläschen ("Bubbles") enthält, in eine Armvene gespritzt, zumeist rechts. Das Ultraschall-Kontrastmittel fließt dann über die Venen in das rechte Herz. Ist die Trennwand zwischen dem rechten und dem linken Vorhof durch ein PFO – oder aber durch einen anderen Defekt – nicht ganz verschlossen, kann das Kontrastmittel aus dem venösen Kreislauf in das arterielle Gefäßsystem übertreten. Die Gasbläschen ("Bubbles") werden mittels Doppler-Sonographie registriert und sind an den großen Zacken und Ausschlägen im Dopplerbild zu erkennen.

Mit dieser Methode kann man also zunächst feststellen ob überhaupt ein "shunt" besteht. Ist dem so, bezeichnet man den Bubble-Test als "positiv". Positiv ist jedoch nicht gleich positiv! Es kommt darauf an, wie viele Bläschen übertreten und unter welchen Bedingungen. Wenn viele Bläschen in Ruhe "shunten" geht man von einem anatomisch offenen PFO aus. In diesem Fall ist "die Tür nicht nur angelehnt", sondern steht offen. Treten Bläschen nur nach Pressen durch das Valsalva-Manöver (forcierter Druckausgleich) über – geht man von einem sogenannten "funktionell offenen PFO" aus – dann wäre die Türe tatsächlich nur angelehnt und öffnet sich lediglich unter Druck.
Falsch positive oder negative Ergebnisse sind sehr selten – in der Regel hat der Bubble-Test eine hohe Aussagekraft und Zuverlässigkeit. Doch auch hier bestätigen Ausnahmen die Regel.
Schluck-Echo
Ist der Bubble-Test positiv, führt der Weg unweigerlich zum Kardiologen, denn jetzt sollte man den Befund mit einer bildgebenden Diagnostik genauer untersuchen und quantifizieren. Das gelingt mit einer sogenannten "transösophagealen Echokardiographie" (engl.: transesophageal echocardiography, abgekürzt TEE). Damit kann man durch ein in die Speiseröhre (Ösophagus) eingeführtes Endoskop mit eingebautem Schallkopf insbesondere Erkrankungen der Vorhöfe diagnostizieren, da die Speiseröhre in unmittelbarer Nachbarschaft zum Herzen liegt. Deshalb nennt man diese Untersuchung auch landläufig ein "Schluck-Echo". Das hört sich schlimmer an als es in der Praxis ist. Während der Untersuchung wird, wie beim Bubble-Test, ein Kontrastmittel appliziert und der Übertritt vom rechten in den linken Vorhof dargestellt. Die Passage von Echokontrast (sog. "Bubbles") vom rechten in den linken Vorhof innerhalb von drei bis sechs Herzzyklen ist dabei diagnostisch für ein PFO. Ein TEE stellt die Methode der Wahl dar und ermöglicht eine genaue Größenbestimmung des PFO und quantifiziert das Ausmaß des Shunts.

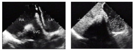
Oben links und rechts: Der Pfeil zeigt den offenen Kanal eines PFOs zwischen dem rechten Herzvorhof (RA = right atrium) und dem linken Herzvorhof (LA = left atrium). Die "Tür ist hier mehr als nur angelehnt" – sie steht sogar etwas offen.
Der weiße Fleck im rechten Vorhof und die Bezeichnung SVC (suprior vena cava) bezieht sich auf die obere Hohlvene, die dort in den rechten Vorhof eintritt. Der Vergleich der weißen Punkte (Bubbles) zwischen dem linken und dem rechten Bild zeigt deutlich den Übertritt von Bubbles. Der linke Vorhof ist nach Kontrastmittelgabe sozusagen voller weißer Punkte.
Je nach Größe und Menge der übertretenden Blasen teilt man ein PFO in drei verschiedene Grade ein. Die Gradeinteilung – abhängig von Größe und Anzahl der übertretenden Blasen sowie dem Vorhandensein von Kofaktoren wie z.B. einem Vorhofseptumaneurysma (Aussackung der Vorhofscheidewand) – ist wichtig für das gesundheitliche Risiko an Land und die damit empfohlenen therapeutischen Maßnahmen – und für Taucher natürlich für die eine wichtige Frage: die zukünftige Tauchtauglichkeit.
Da ein Zusammenhang zwischen der Shunt-Größe beim PFO und dem Risiko für eine Dekompressionserkrankung (aber auch für einen Schlaganfall) nachgewiesen wurde, spielt die Erfassung des Shunts für die weitere Therapie eine große Rolle: Bis zu 5 "Bubbles" in einem einzigen echokardiographischen Standbild gelten als kleiner, 6 bis 25 "Bubbles" als mittlerer und mehr als 25 "Bubbles" als großer Shunt. Eine Häufung von Schlaganfällen und Dekompressionserkrankungen wurde vor allem bei Shunts oberhalb von 20 "Bubbles" festgestellt, und zwar traten diese zum Teil trotz gerinnungshemmender Medikation auf.
Therapie – Fragen an den Experten
Wir haben zur PFO-Therapie einen Mann gefragt, der der sich in "Herzensangelegenheiten" bestens auskennt: Prof. Dr. med. Markus Haass – Facharzt für Innere Medizin, Kardiologie, Angiologie und Internistische Intensivmedizin. Prof. Haass ist seit Juli 2002 Chefarzt am Theresienkrankenhaus Mannheim und Lehrbeauftragter der Universität Heidelberg.
In seiner speziellen PFO-Sprechstunde saß schon manch verzweifelter Taucher nach mehrfachen unverdienten Dekompressionserkrankungen und einer positiven PFO-Diagnostik mit der Frage nach einem Verschluss.
Taucher.Net: Herr Prof. Haass, wann ist ein PFO therapiewürdig?
Prof. Haass: Das hängt von der Größe und dem damit verbundenen Embolie-Risiko ab. Kleine, nur funktionell offene PFOs, bei denen nur nach starker Druckerhöhung durch Pressen Blasen übertreten, bedürfen keiner oder nur einer konservativen medikamentösen Therapie. Bei größeren Defekten schätzt man durch weitere Untersuchungen das bestehende Embolierisiko ein. Abhängig vom Ausmaß des Shunts, bestehenden gesundheitlichen Symptomen (Migräne mit Aura, Embolien, Schlaganfälle), einem begleitenden Vorhofseptumaneurysma oder bereits kleiner, im Kernspin sichtbarer Infarktherde des Gehirns muss der Defekt verschlossen werden.
Taucher.Net: Welche Therapiemöglichkeiten gibt es bei einem PFO?
Prof. Haass: Je nach Resultat der Untersuchungen besteht die Möglichkeit, entweder gerinnungshemmende Medikamente einzunehmen, wie z.B. Marcumar, oder aber den Defekt zu verschließen. Beim Taucher führt die Gerinnungshemmung natürlich nicht zum gewünschten Effekt, da es sich hierbei nicht um Mikrothromben, sondern um Gasembolien durch Stickstoffbläschen handelt.
Taucher.Net: Wie wird ein solcher Verschluss vorgenommen?
Prof. Haass: Normalerweise wird ein kathetergeführter Schirmverschluss durchgeführt. Dabei wird ein Führungskatheter unter örtlicher Betäubung und Röntgenkontrolle meist von der Leistenvene in das Herz und durch das PFO vorgeschoben. Die Defektgröße wird durch einen Ballonkatheter abgemessen und im Anschluss das passende Schirm-Implantat gewählt. Der Katheter wird mit dem Schirmchen armiert, in den linken Vorhof vorgeschoben und aufgeklappt. Im Anschluss wird der Katheter ein Stückchen zurückgezogen und das Gegenstück im rechten Vorhof freigegeben, sodass der Defekt nun "druckknopfartig" von beiden Seiten verschlossen ist. (siehe Abbildungen unten) Der wesentliche Vorteil besteht in einem gesicherten Septumverschluss und der Vermeidung einer Langzeittherapie mit Antikoagulanzien (Tabletten zur Gerinnungshemmung, Anm. d. Red.).


Taucher.Net: Wie sicher führt solch ein Schirm-Implantat zum vollständigen Verschluss des PFO, wie hoch ist also die Erfolgsquote?
Prof. Haass: Vier bis acht Wochen nach dem Verschluss wird ein Kontroll-TEE durchgeführt. Dabei zeigt sich eine Verschlussquote von 90 Prozent. Besteht noch ein Rest-Shunt, wird nach sechs Monaten nochmals nachkontrolliert. Dabei findet sich eine Verschlussrate von 95 Prozent. Die Erfolgsaussichten eines vollständigen Verschlusses sind also sehr hoch.

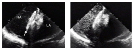
Dasselbe Herz (siehe Abbildungen oben) nach Verschluss mit einem Schirm-Implantat, welches man deutlich an der Verdickung des Vorhofseptums erkennen kann. Der Pfeil zeigt auf die rechte Seite des Schirmchens.
Taucher.Net: In der Literatur wird eine Komplikationsrate zwischen 0 und 10 Prozent angegeben. Was für mögliche Komplikationen gibt es?
Prof. Haass: Jeder noch so sorgsam durchgeführte Eingriff kann zu Komplikationen führen. Eine der gefürchtetsten Komplikationen ist eine Luftembolie, welche beim Einbringen des Katheters in der Leiste entstehen kann. Theoretisch kann es auch zur Verschleppung von Thromben mit Schlaganfall und Lungenembolie kommen. Des Weiteren sind Verletzungen des Herzens oder von Gefäßen, Nachblutungen an der Punktionsstelle, Hämatome, Infektionen, Fehlplatzierung oder spätere Wanderung des Schirmchens oder Herzrhythmusstörungen möglich.
Taucher.Net: Wie sieht die Nachbehandlung aus? Sind nach dem Eingriff eine medikamentöse Thrombose-Prophylaxe oder andere Maßnahmen notwendig?
Prof. Haass: Wir behalten unsere Patienten zwei bis drei Tage zur Beobachtung stationär bei uns. Vorsorglich wird in dieser Zeit eine intravenöse Antibiose durchgeführt. Im Anschluss verordnen wir eine gerinnungshemmende Medikation (Clopidogrel für acht Wochen und Aspirin 100mg für sechs Monate) und eine Endokarditis-Prophylaxe (Antibiotika vor allem bei zahnärztlichen Eingriffen zur Vermeidung von Entzündungen im Bereich der Herzklappen und des Schirmchens). Im Falle eines Rest-Shunts sollte letzteres lebenslänglich durchgeführt werden. Wie bereits erwähnt, wird nach vier bis acht Wochen ein Kontroll-TEE durchgeführt, welches im Falle eines Rest-Shunts nach sechs Monaten nochmals wiederholt wird. Darüber hinaus wird ein Ruhe- und ein Belastungs- EKG durchgeführt.
Taucher.Net: Prof. Haass – wann dürfen Taucher nach einem Verschluss wieder ins Wasser?
Prof. Haass: Bei komplikationslosem Verlauf, nachweislich vollständigem Verschluss und guter Belastbarkeit könnte man einen Taucher eigentlich nach drei Monaten wieder seinen Sport ausüben lassen – sechs Monate sind jedoch sicherer. Das Schirmchen wird im Laufe der Zeit endothelialisiert – das heißt, es heilt vollständig ein und wird sozusagen ins Herz integriert. Je ungestörter und vollständiger dieser Prozess ablaufen kann, desto besser.
Taucher.Net: In der Literatur wird beschrieben, dass ein PFO bei 20 bis 30 Prozent der Erwachsenen vorkommt. Bei Kindern wird die Häufigkeit jedoch mit bis zu 40 Prozent angegeben. Das lässt auf einen möglichen Spätverschluss schließen. Kindertauchen wird immer beliebter. Zu welchem Zeitpunkt könnte man demnach Kinder am sinnvollsten testen lassen?
Prof. Haass: Diese Antwort muss ich Ihnen erst einmal schuldig bleiben. Wir rufen dafür am besten jemanden an, der täglich Kinderherzen operiert: Dr. med. Christian Sebening, Leiter der Sektion Kinderherzchirurgie an der Universitätsklinik Heidelberg.
[Prof. Haass greift zum Telefon und stellt seinem Heidelberger Kollegen unsere Frage. Dr. Sebenings Antwort darauf: "Spätverschlüsse nach Abschluss des ersten Lebensjahres sehe ich eigentlich nicht. Was nach einem Jahr nicht zu ist, bleibt offen. Das impliziert, dass die PFO-Rate bei Kindern nach dem ersten Lebensjahr, Jugendlichen und Erwachsenen gleich sein müsste."]
Taucher.Net: Meistens haben die betroffenen Taucher bereits viele (zum Teil Hunderte) Tauchgänge ungestört absolviert, bevor eine erste "PFO-bedingte Dekompressionserkrankung" auftritt. Kann sich ein PFO im Laufe des Lebens vergrößern?
Prof. Haass: Nein. Zwar kann sich das Herz durch eine Herzinsuffizienz vergrößern und "auslatschen" – das betrifft jedoch nicht das Vorhofseptum. Eine Größenzunahme eines PFO ist nicht zu erwarten.
Taucher.Net: Sollte man den "Bubble Test" in eine Routine-Tauchtauglichkeitsuntersuchung integrieren?
Prof. Haass: Meiner Ansicht nach wäre das eine sinnvolle präventive Maßnahme.
Taucher.Net: Bei einem Taucher mit großem PFO erhöht sich das Risiko, eine Dekompressionserkrankung zu erleiden, um das 2,5-Fache. Würden Sie zu einem PFO-Verschluss raten?
Prof. Haass: Bei einem kleinen PFO Grad I gibt es ein klares Nein. Keinesfalls ausschließlich um Tauchen als Freizeitsport zu ermöglichen, wenn keine anderen gesundheitlichen Indikationen vorliegen. Bei einem II- bis III-gradigen PFO stellt sich die Situation anders dar, da dies womöglich andere Gesundheitsrisiken mit sich bringt. Prinzipiell ist es immer eine Einzelfallentscheidung.
Taucher.Net: Prof. Haass, gibt es etwas, das Sie Tauchern mit Okklusionswunsch mitgeben möchten?
Prof. Haass: Gerne: Habt großen Respekt vor einem Schirmchen. Es ist ein Fremdkörper im Herzen. Es ist schneller implantiert als wieder entfernt. Es kann zwar durch einen Katheter minimalinvasiv eingebracht werden, aber es bedarf einer offenen Herzoperation, um es wieder zu entfernen.
Zwei offene Fragen
Nach diesem äußerst aufschlussreichen Interview, in dem die allermeisten Punkte ausführlich beleuchtet wurden, bleiben dennoch zwei Fragen offen:
• Wie ist die genaue Datenlage bei Kindern? Was empfehlen wir tauchenden Kindern?
• Warum treten unverdiente Dekompressionserkrankungen oft erst spät in der Taucherkarriere auf?
Tauchmedizinisch betrachtet ist ein Taucher mit erfolgreich verschlossenem PFO uneingeschränkt tauchtauglich. Bei Tauchwunsch mit unverschlossenem PFO können sich Taucher an den Leitlinien der Schweizer Gesellschaft für Tauch- und Überdruckmedizin orientieren und – unter bestimmten Umständen – im "Low-Bubble-Profil" weiter tauchen. Nachzulesen und als PDF-Flyer im Download-Bereich verfügbar sind diese Leitlinien im Portal der SUHMS.
Bei bekanntem offenem PFO sollte die Tauchtauglichkeitsuntersuchung zwingend von einem erfahrenen Tauchmediziner durchgeführt werden, der sich mit den Besonderheiten des "Low-Bubble-Diving" auskennt.
Zurück zur PFO Artikelübersicht